
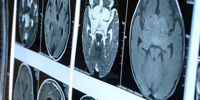
В мозге большинства пациентов, умерших от COVID-19, при вскрытии выявляются следы коронавируса, сообщает РИА Новости, ссылаясь на данные специалистов из Университетской клиники Гамбург-Эппендорф. Их исследование опубликовано в журнале The Lancet.
Как отмечается, учёные изучили тела 43 человек, скончавшихся от последствий коронавирусной инфекции в возрасте от 51 года до 94 лет.
Специалисты обнаружили следы коронавируса в 53% случаев. Чаще всего их находили в клетках ствола мозга и отходящих от него нейронах. Кроме того, у 14% умерших также имелись очаговые ишемические поражения, а у 86% из-за разрушения близлежащих нейронов были аномально увеличены астроциты — поддерживающие клетки нервной ткани.
Однако авторы исследования назвали незначительными изменения в мозге из-за проникновения туда коронавируса.
Отмечается, что они не выявили его прямого разрушительного воздействия на центральную нервную систему.
Ранее сообщалось, что у пациентов, перенёсших COVID-19, даже после выписки могут сохраняться странные проявления болезни и симптомы.








